Dental Smile Gallery Walnut Creek

Changing Smiles & Changing Lives

Dr. David’s goal with every patient in Walnut Creek, especially the ones that require multiple advanced procedures, is to help them achieve their cosmetic and oral health goals.

 


Woman with discolored teeth showing smile before treatment
Woman with brighter teeth showing smile after treatment
Angled view of woman showing smile after treatment
Close-up of unhealthy discolored teeth
Close-up of whiter healthier looking teeth

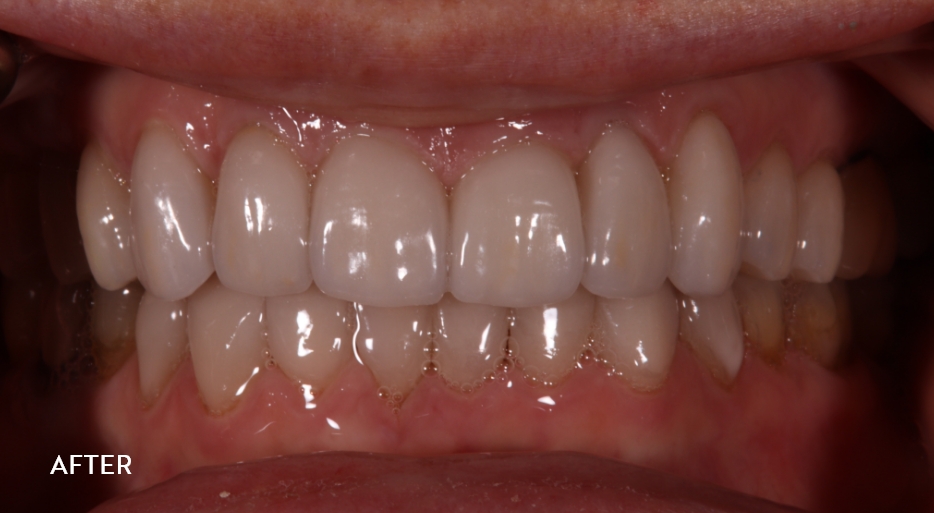
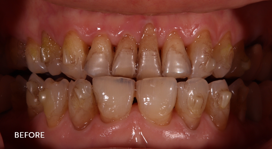
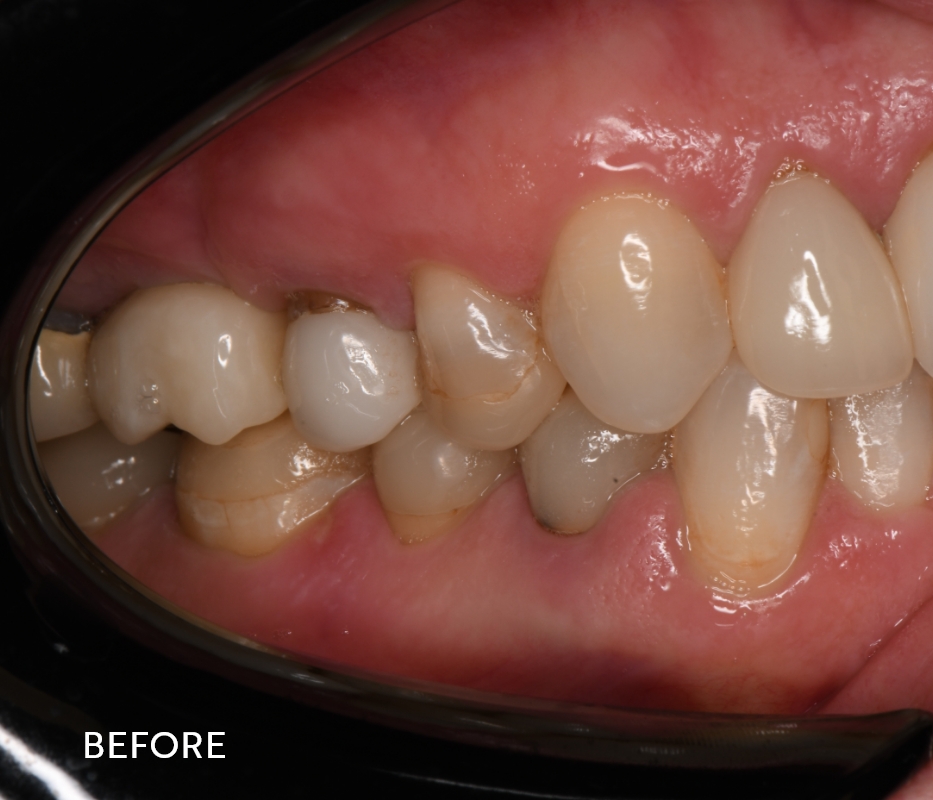
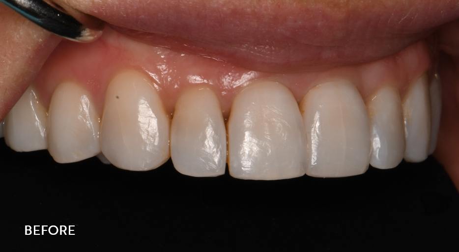
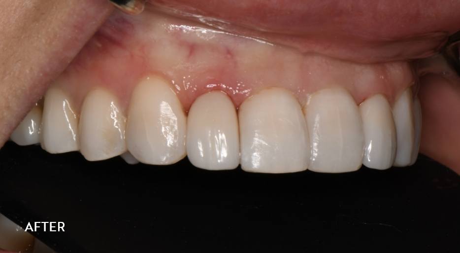
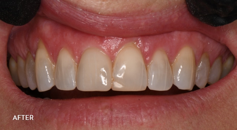
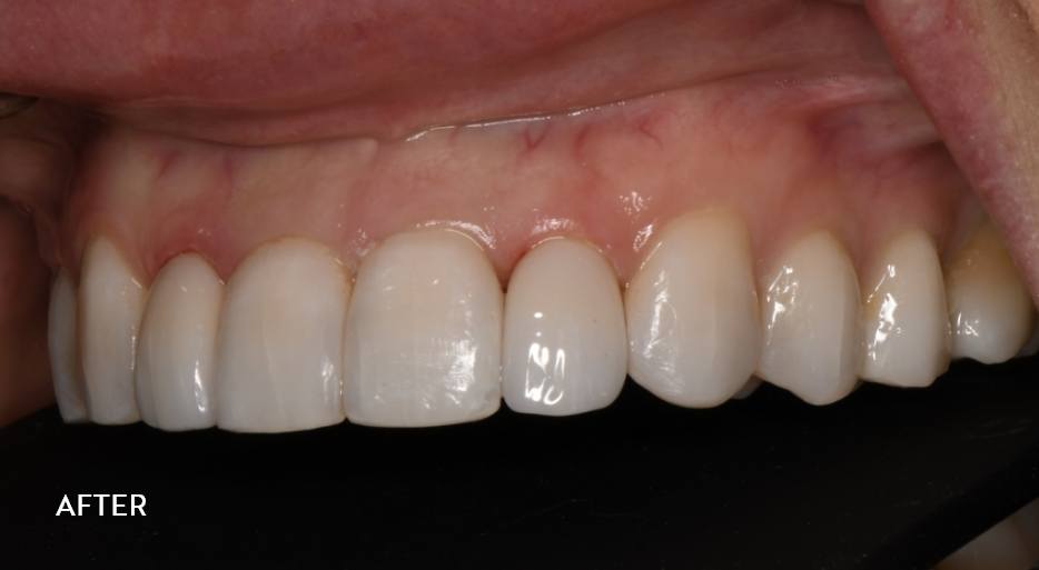
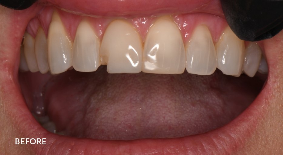
A smile transformation nearly 10 years in the making: This patient was first told years ago to straighten their teeth — they were crooked and wearing down unevenly. After finally completing Invisalign, we restored the health of the gums with a gum graft to cover a sensitive, receded area that was catching food and had poor-quality tissue.

Once the foundation was healthy, we completed the smile with 10 upper and 8 lower veneers. The result? A balanced bite, healthy gums, and a confident smile that the patient can’t stop sharing.
From barely smiling to beaming with confidence. Moments like these are why I love what I do.

Close up of smile with two yellowed teeth
Close up of smile after yellow teeth have been enhanced

10 veneers and crowns to refresh this smile

Close up of smile with spaces between teeth
Close up of smile after gaps have been closed with veneers

4 veneers to close gaps and reshape teeth

Female patient with unhealthy front teeth
Female patient with smile enhanced by four veneers
Close up of smile with badly discolored teeth
Close up of teeth that look brighter after veneer placement

Blending 4 veneers into the smile to make this patient shine

Older man with yellowed misaligned teeth
Older man with whiter straighter teeth
Close up of smile with yellowed misaligned teeth
Close up of smile with whiter straighter teeth

6 veneers to brighten this smile and create a stronger and healthier smile

Close up of smile with dull stubby teeth
Close up of smile with whiter properly sized teeth

8 veneers for a smile rejuvenation

Close up of smile with a chipped front tooth
Close up of smile after chipped tooth has been repaired

Patient broke her veneer when she was on vacation and wanted to have her tooth fixed fast - so we made it happen with a same-day veneer including custom staining and glazing for an excellent color match

Left side of smile with dark gaps between teeth
Left side of smile after gaps have been addressed with veneers
Right side of smile with dark gaps between teeth
Right side of smile after gaps have been addressed with veneers

The patient wanted to close the dark gaps (black triangles) in her front teeth. We did a combination of two veneers and composite bonding. The patient loved her new smile and check out the perfect color match!

Female patient after smile has been corrected with crowns and onlays
Smile with unevenly sized unhealthy teeth
Smile with properly sized healthier looking teeth
Pulled back view of smile before treatment
Pulled back view of smile with ten crowns and onlays

10 crowns and onlays for a healthier, stronger and more balanced smile

Close up of smile with missing tooth
Close up of smile replaced with dental implant

Single implant to replace broken tooth

Close up of missing tooth in lower arch
Close up of tooth in lower arch replaced with dental implant

Single implant to restore this patients ability to chew

Close up of smile missing two teeth
Close up of smile with teeth replaced with pair of dental implants

Two dental implants to replace missing teeth

Gap in smile left by missing tooth
Gap in smile filled with dental implant

Dental implant to replace a fractured tooth

Large gap in smile left by two missing teeth
Smile restored with dental implants for two missing teeth

Regaining confidence to chew comfortably with dental implants to replacing 2 missing teeth

Close up of cracked tooth in mouth
Gap in smile after tooth has been removed
Gap in smile filled with dental implant and custom shaded prosthesis

This transformation shows how an immediate dental implant and custom crown can seamlessly replace a fractured tooth with a perfect shade match. Can you even spot which tooth is the implant?

Female patient with a gummy smile
Female patient after a gum lift
Close up of a gummy smile
Close up of smile after a gum lift

Gum lift to address the gummy smile to create a more confident and harmonious smile

Teenage patient's smile with braces
Teenage patient's smile with missing teeth
Teenage patient's smile with replaced teeth

This is an amazing post-ortho glow up for our 15 year old patient. After braces, we completed a gum lift and then cosmetic bonding to fill in the gaps between her teeth, as well as a Maryland bridge to replace her missing tooth. This will give her time to grow and can consider veneers and an implant in the future.

Front view of smile before treatment
Front view of smile after treatment
Left view of smile before treatment
Left view of smile after treatment
Right view of smile before treatment
Right view of smile after treatment

Old crowns causing constant irritation, hygiene challenges and a smile that felt unbalanced resolved by a surgical gum lift procedure and new crowns for a beautiful, confident smile!

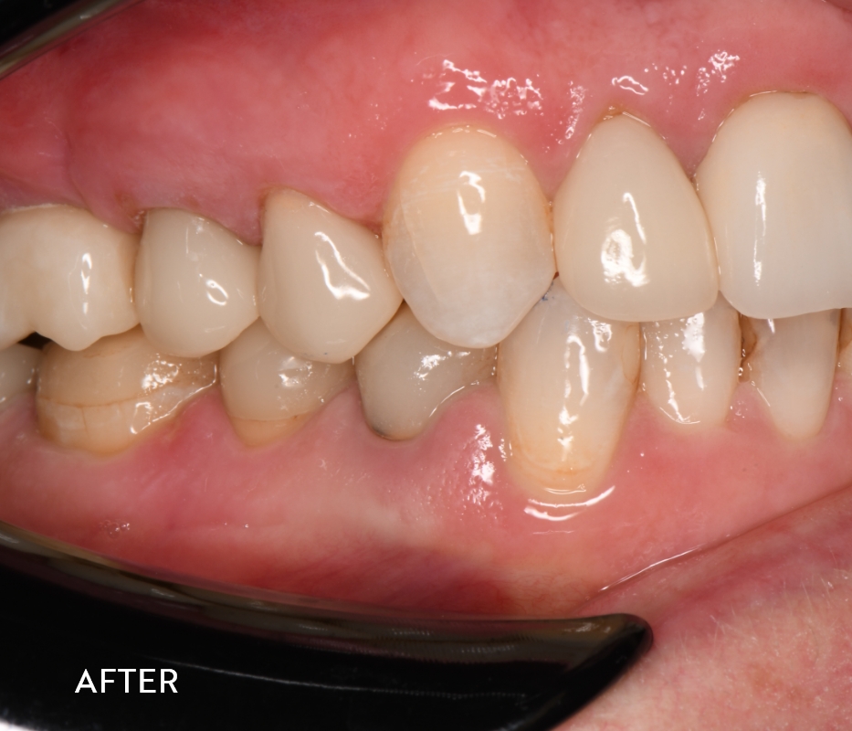
Badly damaged and worn down upper teeth
Upper teeth restored with veneers and crowns

A healthier and stronger smile, revitalized with 12 veneers and crowns

Upper teeth with white spots
Upper teeth after white spots have been addressed

Resin infiltration for a no-drill, non-invasive correction of white spots

Smile with unrestored dental implant
Smile with obvious dental crown
Smile with natural looking dental crown

The patient wanted everything to match and feel natural again and now she loves her smile! After placing an implant and restoring the two neighboring teeth with crowns, everything blends seamlessly.

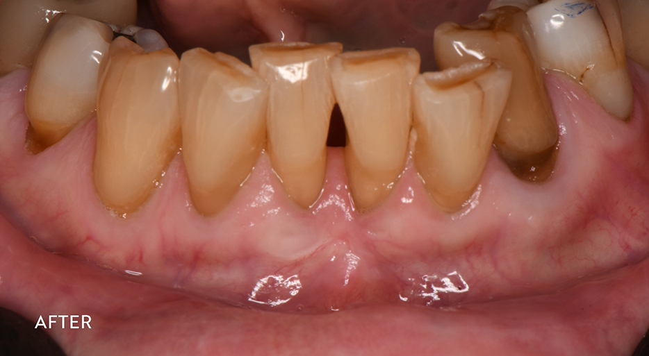
Teeth in lower arch looking long due to gum recession
Lower teeth four weeks after gum grafting
Lower teeth after successful gum grafting

This Free Gingival Graft (FGG) shows the regeneration of healthy tissue to cover exposed roots. Creating thicker gums helps prevent further gum recession and makes the area much easier for the patient to keep clean.

Lower teeth after gum recession
Four weeks after gum graft
Six months after gum graft

From significant and progressive gum recession to healthy, restored gums with a Free Gingival Graft (FGG) gum graft procedure

Smile prior to Alloderm treatment
Smile after alloderm treatment

Using Alloderm for a gingival graft to cover the sensitive and exposed roots. Using donor material means there is no need for taking gum tissue from the roof of the mouth